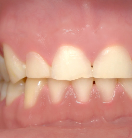
El bruxismo es una parafunción mandibular persistente que consiste en el frotamiento y rechinamiento dentario sin propósito funcional, produciendo el desgaste de las piezas. Su principal desencadenante se sitúa en el plano psicológico aunque las repercusiones se extienden al plano de la odontología.
Las personas pueden apretar y rechinar los dientes sin ser conscientes de ello tanto durante el día como durante la noche, aunque el bruxismo relacionado con el sueño a menudo es el mayor problema, ya que es más difícil de controlar.
Aún no se ha llegado a un acuerdo sobre la causa exacta del bruxismo, pero el estrés durante el día puede ser el desencadenante en muchas personas. Algunas personas probablemente aprietan sus dientes y nunca sienten síntomas.
En Mallorcadent realizamos los tratamientos adecuados para este tipo de dolencias y diseñamos aparatos y protectores bucales para la prevención de los posibles efectos del bruxismo.